编辑:广州新世纪银屑病医院 时间:2023-05-25 ◎点击免费咨询
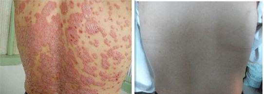
今日科普!广州治疗银屑病的医院-为何会患上银屑病?银屑病常见的症状- 银屑病是一种常见的慢性皮肤疾病,主要表现为皮肤表面出现多层银白色的鳞屑,银屑病的主要病因是因为皮肤过于干燥和缺水所引起的。一旦得了银屑病,患者的皮肤会非常的干燥,而且鳞屑会越来越厚,这些鳞屑会严重影响患者的外形美观,所以患者应该及时的去医院进行治疗,避免皮肤病情的加重,给患者带来很大的困扰。让我们广州治疗银屑病医院为你解答:

银屑病诱因有哪些
1、精神因素
如果精神压力大,或者是情绪不稳定,或者是精神受过刺激,都会导致患者出现银屑病的症状,这种情况会直接的对患者的心理造成非常大的伤害,因为一旦出现精神不良,那么就会直接影响到患者的内分泌系统,导致银屑病疾病的发生。
2、内分泌紊乱
内分泌紊乱也是诱发银屑病的主要原因之一,当患者出现内分泌紊乱,身体的各项功能也会出现紊乱,这样就会导致患者出现皮肤代谢功能紊乱,继而诱发皮肤出现了银屑病,所以患者应该注意调节内分泌,保持内分泌正常,从而能够减少银屑病的出现。
3、遗传因素
银屑病这种疾病的发病原因也是多方面的,如果家族中有银屑病病史的人,就很容易发生银屑病,所以在患病之后,应该积极的去医院进行治疗,并且在治疗的过程中,患者还应该多吃一些富含维生素b的食物,这样能够增加患者皮肤的营养,避免皮肤出现干燥脱屑的情况。
由此可以知道银屑病诱因,是因为身体上面的一些因素所致,所以患者应该积极的去医院检查,了解银屑病的发病原因,并且在医生的指导下积极的治疗。同时应该保持良好的心态,不要有太大的心理压力,以免病情的加重。
银屑病科普
今日科普!广州治疗银屑病的医院-为何会患上银屑病?银屑病常见的症状- 银屑病患者不要盲目用药,不要自行用药,应该到正规医院皮肤科,在皮肤科医生指导下,采取合理化的治疗措施,这样才能尽快控制住病情。
上一篇:[重点排名]健康关注|深圳专业皮肤病牛皮癣排名公布_减少牛皮癣治疗费用的症状 下一篇:排名公布!惠州好的银屑病医院排名前十[TOP3名单] 惠州专治银屑病医院症状 排名公布!惠州好的银屑病医院排名前十[TOP3名单] 惠州专治银屑病医院症状
温馨提示 欢迎来到广州新世纪银屑病医院,本站信息仅供参考,不作为诊断依据。我们将为您提供一对一优质服务, 并保护您隐私,想了解详情,请拨打健康咨询热线:400-685-9688 或点击 免费在线咨询