编辑:广州新世纪银屑病医院 时间:2023-07-07 ◎点击免费咨询
享誉:惠州治疗银屑病的医院在哪[大胆公开]深圳看银屑病的费用?皮肤病的治疗并没有捷径可走,因为治疗皮肤病的药物种类繁多,但是很多药物在治疗皮肤病上都会存在很大的危害性,尤其是一些不正规的医院或是不正规的医院,更会让患者的病情更加严重,所以患者朋友们一 定要重视起来,选择好的医院,这是治疗的前提。让我们广州治疗银屑病医院为你解答:

治疗皮肤病的医院有很多,可能有些医院是不正规的,所以患者在选择治疗医院时一 定要慎重,选择有治疗皮肤病的医院,正规医院不仅能够对患者的病情进行全 面检查,对患者病情的具体分析,并对患者病因制定针对性治疗方案,从而达到好的治疗的目的。
正规的皮肤病医院不仅能够为患者带来更加专业的治疗手段,而且还能够为患者带来一些有效的护理措施,所以患者在选择医院时一 定要慎重,正规医院的治疗方法都是以科学为主的,不正规的医院不仅没有针对性治疗,还会给患者带来不可逆转的损伤。
正规的皮肤病医院是比较正规的,这样患者的病情治疗才会有保 障,但是在选择治疗医院时,患者还要注意医院的正规性,正规的皮肤病医院在治疗上都是有着经验丰富的医师团队,这对患者的治疗也是有帮助的,所以患者在选择医院时不要贪图便宜而随便去选择。
患者朋友们在选择治疗皮肤疾病的医院时候也要注意治疗的安 全性,因为正规的皮肤病医院不仅治療效果好,治疗的效果也是非常的好的,所以患者在选择医院的时候一 定要选正规的皮肤病医院,正规的皮肤病医院的服务也是比较好的,所以患者朋友们也要重视好,正规的皮肤病医院对患者的治疗有好处。
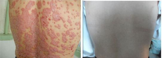
银屑病要怎么治疗
银屑病的治疗一般采用药物治疗,但是这个病还是比较容易复发的,所以患者需要有耐心,积极配合医生,保持良好的心态,这样对银屑病的治疗是很有帮助的。
治疗银屑病,选择银屑病医院时,首先考虑的是专家团队。专业的医生是治疗银屑病的一个重要基础,银屑病医生的临床诊断及治疗经验十分丰富,可以为患者制定出针对性的治疗方案,并且可以有效的避免银屑病反复发作的情况发生。
治疗银屑病,选择治疗牛皮癣的专业医院是很关键的,银屑病是一种顽固性的疾病,而且这种疾病的治疗需要患者有足够的耐心才可以,不能随意的中断或者是放弃治疗或者是更换治疗方法。因此在选择治疗的方法时,患者需要根据自身的情况,选择适合自己的方法。
享誉:惠州治疗银屑病的医院在哪[大胆公开]深圳看银屑病的费用?银屑病是一种比较常见的疾病,患者的身体素质是不同的,所以在治疗的时候采用的方法也不同。所以在治疗的时候患者应该根据自身的情况来选择一种方法来治疗。
上一篇:东莞看牛皮癣比较好的医院今日公布-东莞有专治疗牛皮癣的吗 下一篇:银皮癣晚期还能治好吗?
温馨提示 欢迎来到广州新世纪银屑病医院,本站信息仅供参考,不作为诊断依据。我们将为您提供一对一优质服务, 并保护您隐私,想了解详情,请拨打健康咨询热线:400-685-9688 或点击 免费在线咨询