编辑:广州新世纪银屑病医院 时间:2023-06-26 ◎点击免费咨询
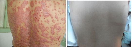
发布!佛山哪家医院治疗牛皮鲜最好【佛山牛皮癣的治疗有效医院】?牛皮癣是一种很难治疗的疾病,因为它是一种慢性的疾病,治疗的周期也是比较长的,因此在治疗的过程中患者需要有耐心,并不是一下子就能看的見效的,患者在治疗牛皮癣的过程中一 定要有耐心,不能半途而废。那么,牛皮癣是什么样子的?让我们广州治疗牛皮癣医院为你解答:

其次,在治疗的时候,患者应该保持良好的心态,不要因为患有牛皮癣就自暴自弃,不要过于的担心,在治疗的过程中应该保持良好的心态,这样才能更好的治疗疾病,对疾病的治疗有帮助。
第三,对于疾病的治疗,患者应该有一个好的心态,积极的配合医生的治疗,只有这样才能更好的治疗疾病,在治疗的过程当中一 定要有耐心,积极的配合医生,这样才能让自己更好的治疗疾病,在治疗的过程中要有一个耐心,不要中途放弃治疗。
第四,在治疗牛皮癣的过程中,一 定要注意饮食,不能吃辛辣刺激类的食物,不能吃海鲜,还有就是牛肉,羊肉等发物。这样都对自己的疾病有帮助,在治疗疾病的时候不要抽烟和喝酒,这样都会对治疗不利。
发布!佛山哪家医院治疗牛皮鲜最好【佛山牛皮癣的治疗有效医院】牛皮癣的治疗方法有很多,但是不同的患者采用的治疗方法是不同的,牛皮癣患者只有选择正确的牛皮癣治疗方法,才能使牛皮癣的治疗更加有效。
上一篇:要闻精选】中山哪家医院治银屑病[中山银屑病治疗医院?] 中山银屑病那个医院治疗效果好 下一篇:东莞看牛皮癣比较好的医院今日公布-东莞有专治疗牛皮癣的吗
温馨提示 欢迎来到广州新世纪银屑病医院,本站信息仅供参考,不作为诊断依据。我们将为您提供一对一优质服务, 并保护您隐私,想了解详情,请拨打健康咨询热线:400-685-9688 或点击 免费在线咨询