编辑:广州新世纪银屑病医院 时间:2023-05-13 ◎点击免费咨询
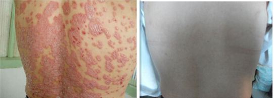
新发布!佛山在哪家治疗牛皮癣好-前三医院推荐|佛山治牛皮癣医院-哪些人更容易患牛皮癣?牛皮癣是一种慢性皮肤病,病因十分复杂,而由于病因复杂,注定是一种非常难治的疾病。在日常生活中,很多人可能不知道自己属于牛皮癣的高发人群,所以平时没有做好预防措施,以至于身体受到牛皮癣的影响。针对这种情况,今天给大家介绍一些比较容易得牛皮癣的人:让我们广州治疗牛皮癣医院为你解答:

1、有遗传基因的人:牛皮癣是一种遗传性慢性病。如果家族中有人患有牛皮癣,其后代体内也会携带牛皮癣易感基因,但并不代表一定会发病,只是得牛皮癣的概率比正常人高很多,尤其是如果你不注意预防措施,就会增加发生的概率。
2、免疫力低下的人:比如免疫力不成熟的孩子、有免疫系统疾病的人、年长的中老年人,都是免疫力低下的人。这些人平时更容易感染疾病,从而导致免疫功能低下,从而增加患牛皮癣的几率。
3、精神压力大的人:如果在日常生活或工作中压力大,往往会导致身体生理机能出现异常,增加患牛皮癣的几率。还有一些人,平时可能会遇到一些突发事件刺激,导致精神或心理无法适应,往往会导致免疫功能低下,出现牛皮癣。
4、作息不规律的人:规律的作息对健康很重要。如果生活作息不规律,比如总是熬夜或过度劳累,饮食不规律,也会导致体质下降,增加患上皮肤病牛皮癣的概率。
新发布!佛山在哪家治疗牛皮癣好-前三医院推荐|佛山治牛皮癣医院-哪些人更容易患牛皮癣?以上就是今天介绍的比较容易患牛皮癣的人群。相信看完后,您对这方面的知识会有更深入的了解和理解。如果您看完以上发现自己属于牛皮癣的高发人群,一定要根据自己的实际情况,采取各种预防措施,减少牛皮癣的发病率,减少对健康的危害。
上一篇:「重磅」广州治银屑病医院哪个好「正式揭晓」看银屑病需要空腹吗? 下一篇:广州银血病医院[看银屑病价格表]_广州银血病医院排名榜 广州治疗银屑病价格人群
温馨提示 欢迎来到广州新世纪银屑病医院,本站信息仅供参考,不作为诊断依据。我们将为您提供一对一优质服务, 并保护您隐私,想了解详情,请拨打健康咨询热线:400-685-9688 或点击 免费在线咨询